Папилломы представляют собой небольшие наросты на коже. По оттенку и размеру они могут отличаться между собой, хотя обычно речь идёт о беловатых образованиях величиной до сантиметра. Иногда также встречаются папилломы ярко выраженного коричневого цвета и наросты свыше 10 миллиметров.
И...
В течение жизни на теле человека появляются различные кожные новообразования – одни развиваются в результате вирусной активности, другие же носят врожденный характер. Некоторые наросты довольно сложно отличить друг от друга, понять, что это невус или папиллома простому обывателю порой...
Когда организм атакует ВПЧ, и на теле появляются папилломы, бороться с ними можно одним из самых эффективных народных средств – это березовый деготь и почки, которые помогут в борьбе с наростами.
Лечебные свойства березовых почек
Далеко не все знают о том,...
Появление на теле папилломы – это всегда очень неприятно. Качество повседневной жизни у человека нарушается из-за постоянного дискомфорта, а если нарост образовался ещё и на видном месте, как лицо или шея, то к этому добавляются также проблемы с внешним...
Папиллома представляет собой небольшой вырост, образующийся на эпителии, похожий внешне на маленький сосочек на «ножке» или скопление приподнятых на пару миллиметров над кожей округлых новообразований. Причиной их появления является папилломовирус или, по научному, ВПЧ (вирус папилломы человека). Известно два...
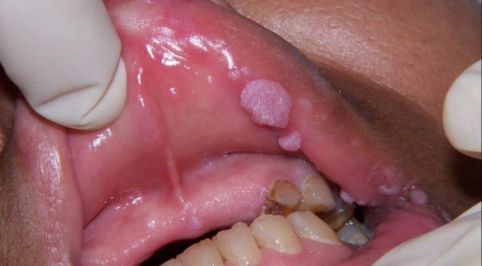
Генитальные папилломы, как и бородавки на других частях тела, возникают при попадании папилломавируса в организм через микроповреждения на коже или слизистой. Из-за особенностей локализации доброкачественные образования в паху считаются наиболее опасными и для заболевшего, и для окружающих, поэтому лечение...
С появлением папилломы на животе сталкивается немало пациентов. Причиной образования наростов на коже живота или в пупке является папилломавирус. Сегодня ученые выделяют около ста штаммов ВПЧ. Для установления разновидности вируса папилломы человека, который атаковал организм, используется такая методика, как...
Акрохорда или нитевидная папиллома – кожный дефект, встречающийся преимущественно у людей после сорока. Многие не придают значения возникновению акрохорды, считают ее исключительно косметической проблемой. Однако это не совсем так.
Нитевидная папиллома: симптоматика и причина возникновения
Главной причиной кожных высыпаний является заражение...
Папилломы на теле могут появляться по многим причинам: неправильный образ жизни, сниженная иммунная система и даже беременность. Главным провокатором их возникновения является папилломавирус, а активировать его может наличие паразитов в организме (гельминтоз).
В этом случае диагностирование недуга несколько усложняется, а...
Вирус папилломы человека – это очень неприятная и довольно распространённая проблема. Результатом заражения ВПЧ выступают доброкачественные образования на коже, напоминающие собой небольшие сосочки или петушиные гребешки.
В некоторых случая наросты могут быть плоскими, но обычно они торчат вверх наподобие остроконечных...
Распространение вируса папилломы примерно равнозначно среди обоих полов, и появляться они могут в разных зонах (включая половые органы). Однако папилломы у мужчин не так опасны, как у женщин, что можно назвать хоть и небольшим, но утешением для представителей сильной половины человечества.
Что...
Носителями папилломавирусной инфекции являются более 70% населения, но характерные кожные новообразования появляются не у всех. ВПЧ длительное время может пребывать в организме латентно, но при снижении иммунитета он активизируется, и на теле появляются папилломы, кондиломы или бородавки.
В большинстве своем...
Папилломы – это доброкачественные новообразования, появление которых обусловлено поражением организма вирусом папилломы человека. Инфицирование может произойти во время незащищенного полового акта и при непосредственном контакте с носителем вируса. У большинства людей вирус находится в неактивной фазе, за счет чего...
Папиллома – это доброкачественное образование, появившееся в результате действия ВПЧ (вируса папилломы человека). Часто небольшие опухоли телесного цвета или немного темней обладают мягкой структурой. Они располагаются на коже или слизистой оболочке человека. Под воздействием различных факторов папилломы могут увеличиваться...
Поскольку папилломы являются одними из самых распространенных кожных наростов, избавиться от них мечтают практически все их обладатели. Для этой цели можно использовать методы удаления, рекомендуемые традиционной медициной, а можно обратить внимание и на народные средства, которые годами проверялись любителями...
Бородавки и папилломы – это доброкачественные проявления, вызываемые вирусом папилломы человека. Причина образования в организме последнего почти всегда связана с ослаблением защитной функции организма. При недостаточно хорошей работе иммунной системы, риску заражения ВПЧ подвержены как женщины, так и мужчины.
Если...
Вирус папилломы человека – распространенное заболевание, которым поражена большая часть человечества. Полностью вылечить инфекцию невозможно, а в случае падения иммунитета на коже зараженного возникают доброкачественные образования. Для борьбы с ними применяются разные методики. Например, можно приобрести в аптеке мазь...
Вирус, который провоцирует развитие папилломатоза, находится в организме у более, чем 60% людей. По этой причине нет ничего удивительного в том, что представительницы прекрасного пола довольно часто сталкиваются с данным не очень приятным заболеванием. Несмотря на то, что наросты...
Небольшие родинки очень часто украшают человека, особенно если речь идёт о женском лице. Однако существует также разновидность наростов, которая тоже может окрашиваться в чёрный цвет, и напоминать издалека именно родинки.
Врачи называют такие новообразования папилломами, и они не только ухудшают...
80% людей являются носителями папилломавируса и около 30% из них страдают от появления бородавок на теле. Папилломы не только портят внешний вид, но и создают риск возникновения злокачественных опухолей, поэтому необходимо серьезно подходить к их лечению.
Гель Антипапиллом создан специально...


























