Препарат Супер Чистотел от папиллом
Те, кто страдает от возникновения на теле папиллом, постоянно ищут эффективные средства для их выведения. Желательно, чтобы они были недорогие и не имели большого...
Бородавки на половых органах женщин
Образуясь на женских половых органах, бородавки могут доставлять много неудобств, в том числе вызывать проблемы с половой жизнью и развивать комплексы в связи с...
Удаление папиллом перекисью водорода
Появление на коже новообразований, в виде папиллом или бородавок, редко причиняют много хлопот. Однако способны стать настоящей эстетической катастрофой, если местом их локализации стало...
Папилломы на анусе
Папилломы на анусе могут доставить много неприятностей. Виновником их распространения является папилломавирус. Опасностью таких новообразований является высокий риск малигнизации при отсутствии надлежащей терапии.
Причины анальной...
Удаляем плоские бородавки на теле
Плоская бородавка – небольшое доброкачественное новообразование, слегка выступающее над кожным покровом. Свое название нарост получил из-за своего внешнего вида, они практически сливаются с кожей...
Народные средства от бородавок
Бородавки – доброкачественные наросты, появление которых связано с инфицированием папилломавирусом (ВПЧ). Попадая в организм человека, ВПЧ встраивается в ДНК клеток кожи, провоцируя их рост....
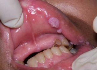
Бородавки во рту
Активная форма ВПЧ причина того, что на теле, а также слизистых оболочках человека появляются вирусные папилломы (в простонародье бородавки). Известно более 100 штаммов папилломавируса,...
Инновационный препарат Папилайт Комфорт от папиллом и бородавок
Современная медицина предлагает множество аппаратных методик для внешнего избавления от неэстетических дефектов в виде наростов. Одновременно разрабатываются препараты для эффективного и безболезненного удаления новообразований...
Ляписный и криокарандаш от папиллом
Бородавки, папилломы и другие доброкачественные новообразования на коже чаще всего имеют вирусную природу. Они могут располагаться на открытых участках тела – шее, под мышками,...
Лабиальный герпес
Лабиальный герпес - это вирус, который называется herpes labialis. Тот самый герпес, который люди именуют простудой на губе. Патологические высыпания могут проявляться на лице,...
Причины образования папиллом на веке
Что становится причиной висюлек на веках? В первую очередь виновник этого дефекта является не кто иной, как вирус, вирус папилломы человека. Он живет в...
Папилломы на половых органах
Зараженного вирусом человека может длительное время не беспокоить ничего. А после перенесенного стресса, длительной болезни, переохлаждения и других негативных факторов, человек может обнаружить высыпания...
Стоит ли выводить бородавки на пальцах
Появление на любом пальце руки (большом, безымянном, указательном, среднем или мизинце) небольшого бугорка, который начинает расти и покрываться чешуйками, может заметно отравить жизнь, как...
Опоясывающий герпес (опоясывающий лишай) на голове
Герпес на голове в волосах является вирусным заболеванием. К сожалению, переносчиками вируса являются 90% населения планеты. Больше 40% страдают рецидивирующим типом заболевания, который может...
Как отличить родинку от бородавки
Бывает, что сложно сразу понять, бородавка или родинка стала источником проблем в каждом конкретном случае. Прежде чем делать выводы относительно отличий этих наростов, нужно...
Гомеопатия от бородавок
По данным ВОЗ более трех четвертей населения планеты заражено вирусом папилломы человека (ВПЧ). Именно он в ответе за появление на коже и слизистых человека...
Папиллома в носу
Зачастую вирус папилломы человека (ВПЧ) попадает в организм ещё в детском возрасте и не имеет каких-либо симптомов длительный период времени. Возможным вариантом проявления инфекции...
Красные, белые, коричневые бородавки
Бородавками являются далеко не все из кожных образований. Их цвет может указывать на тип аномалии, причины ее появления, а также сигнализировать о перерождении доброкачественных...
Препарат “Чистотело” от папиллом
Способов вывести папиллому множество. Это может быть как хирургическое, так и медикаментозное лечение. Одним из лидеров среди препаратов от папиллом является «Чистотело». Средство получило...
Лечение папиллом дегтярным и хозяйственным мылом
Папилломами называют доброкачественные новообразования, которые появляются на кожных покровах вследствие проникновения вируса. Эта патология встречается часто, потому что не у каждого человека есть возможность...
























