Электрокоагуляция папиллом
Ввиду того, что вирус папилломы человека стал действительно распространенным заболеванием, и данная проблема тревожит миллионы людей по всему миру, медики придумали много способов удаления...
Растительный комплекс Папинол
На фармацевтическом рынке есть масса различных препаратов предназначенных для борьбы с ВПЧ и один из них вышедший сравнительно недавно – растительный комплекс Папинол. Для...
Что делать если папиллома растет
Симптоматика
Папилломы представляют особую опасность для человека, так как они могут стать причиной развития раковых клеток кожи. Поэтому очень важно при обнаружении даже самого маленького...
Народные средства от папиллом
Папилломы – доброкачественные новообразования на кожном покрове человека. Внешне напоминают бородавку на «ножке». С помощью этой «ножки» — небольшого утолщенного участка нарост прикрепляется к...
Герпес в полости рта
Герпес не зря называют по-простому простудной болячкой. И в этом ничего нет удивительного, т.к. появление герпеса часто провоцируется низкой температурой в холодное время года...
Супрессивная терапия герпеса
Супрессивная терапия герпеса - это терапия, подразумевающая подавление герпетической инфекции. Благодаря такой терапии появляется возможность минимизировать количество обострений герпетической инфекции. В основе супрессивной терапии...
Средство от бородавок «Криофарма»
Одним из радикальных амбулаторных способов удаления бородавок является криотерапия. Однако провести подобную процедуру можно и в домашних условиях. Для этого используется аптечный препарат –...
Анализ крови на вирус герпеса 5 типа
Цитомегаловирус представляет собой вирус герпеса 5 типа. Выявить его поможет анализ на цитомегаловирус. Попав однажды в организм, вирус остается навсегда. Как бы старательно его...
Лучшее время года для удаления папиллом
Когда лучше удалять папилломы? В какое время года или день недели? Можно ли удалять папилломы летом? Все эти вопросы актуальны для «хозяев» наростов. Особенно,...
Папилломы на спине
Многие люди не придают особого значения появлению папиллом на спине, пока они не начинают причинять дискомфорт. К сожалению, эти наросты, которые никак не проходят...
Как лечить герпес у грудничка
Болезнь, появившаяся у грудничков, может вызвать серьезные осложнения главных органов. Откуда может взяться недуг у только что родившегося на свет младенца?
Краткая информация
В организм новорожденного...
К какому врачу обращаться с бородавками
Бородавки – довольно распространенные новообразования, появляющиеся на коже и слизистых человека. Эти доброкачественные наросты могут встречаться у людей всех возрастных категорий. Иногда они совершенно...
Фенистил гель от герпеса
Фенистил от герпеса - надежное и проверенное временем средство, позволяющее за считанные дни избавиться от пузырьковых высыпаний на губах. Его производителем является известная немецкая...
Герпес на подбородке
Герпес на подбородке вызывается вирусом 1 типа. Герпес 1 типа главным образом провоцирует появление герпетической сыпи на губах. Патологические новообразования на подбородке возникают редко....
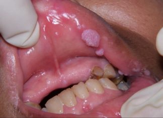
Локализация и виды папиллом во рту
Немалое количество вирусных инфекций годами находятся у человека в теле, вообще не подавая признаков своего существования. Одним из таких вирусов является ВПЧ, и если...
Чистотел для удаления бородавок
Если после осмотра врач дает разрешение на самостоятельное лечение, то лучшим вариантом будет удаление бородавок чистотелом. Эта целебная трава имеет сложный химический состав, благодаря...
Папилломы в гинекологии
Не так давно самым распространенным заболеванием в гинекологии считался генитальный герпес, однако несколько лет назад его место занял вирус папилломы человека. Он представляет собой заразную...
Оксолиновая мазь от папиллом
Появление папиллом на коже провоцирует вирус, который живет в крови, поэтому полное устранение недуга требует комплексного подхода, но есть методы, которые помогут избавиться от...
Аногенитальные бородавки
Аногенитальные бородавки поражают область внешних и внутренних половых органов. Развиваются в любом возрасте как у мужчин, так и у женщин. Истинная причина их появления...
Могут папилломы пропасть без лечения?
Вирус папилломы человека долгое время находился под тщательным наблюдением ученых и на сегодняшний день современная медицина может без проблем обнаружить инфекцию в организме человека...
























